Umbilical polyps are rare congenital lesions arising from persistent embryological remnants of the omphalomesenteric duct. They typically present in infancy as a firm, red umbilical mass associated with mucous discharge and are frequently misdiagnosed as umbilical granulomas. Histologically, umbilical polyps contain ectopic intestinal or gastric mucosa, which distinguishes them from more common benign umbilical lesions. We report a case of a 5-month-old male infant presenting with a persistent umbilical mass and discharge. Surgical excision was performed, and histopathological examination revealed intestinal tract mucosa, confirming the diagnosis of an umbilical polyp. This case highlights the importance of early recognition, accurate diagnosis, and surgical management to ensure complete resolution and prevent recurrence.
Umbilical abnormalities are commonly encountered in neonates and infants, with umbilical granuloma being the most frequent diagnosis [1,2]. However, rare congenital anomalies such as umbilical polyps must be considered in cases of persistent umbilical masses or discharge that do not respond to conservative therapy [3]. Umbilical polyps result from incomplete involution of the omphalomesenteric (vitelline) duct and consist of ectopic intestinal or gastric mucosa at the umbilicus [1,4]. These lesions are typically firm, well-circumscribed, and associated with mucous discharge, distinguishing them clinically from the softer, friable appearance of granulomas.
Unlike granulomas, umbilical polyps do not regress spontaneously and require surgical excision for definitive treatment [5]. Failure to recognize this entity may result in repeated ineffective topical treatments and prolonged parental anxiety. Accurate differentiation is essential, as delayed diagnosis may lead to persistent symptoms and overlooked associated anomalies of the omphalomesenteric duct [6]. Early identification and appropriate referral for surgical management ensure timely resolution and prevent unnecessary interventions.
A 5-month-old male child was brought with a history of a persistent umbilical mass associated with intermittent mucoid discharge since early infancy. There was no history of bleeding, fever, vomiting, abdominal distension, or altered bowel habits. The infant was born at term following an uncomplicated pregnancy and delivery, and growth and developmental milestones were appropriate for age. No prior topical treatment, such as silver nitrate, had been administered, which is typically effective for umbilical granuloma but not for umbilical polyp [2,3].

Physical examination revealed a small, firm, reddish nodular mass at the umbilicus with minimal mucous discharge. The lesion was non-tender and non-pulsatile, with no surrounding erythema or signs of infection. The mass did not reduce on pressure and showed no impulse on crying, making an umbilical hernia unlikely. These features favored a diagnosis of umbilical polyp rather than granuloma [4,5].
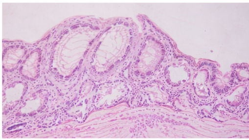
Routine laboratory investigations were within normal limits. Given the persistent nature of the lesion and suspicion of a congenital umbilical anomaly, surgical excision was planned. Histopathological examination of the excised specimen demonstrated well-formed intestinal tract mucosa lined by columnar epithelium with goblet cells, confirming the diagnosis of an umbilical polyp arising from an omphalomesenteric duct remnant [1,3].

Complete surgical excision of the umbilical mass was performed, which is the recommended definitive management for umbilical polyp [5,6]. The procedure involved careful dissection of the lesion from the surrounding umbilical tissues to ensure complete removal and to prevent residual ectopic mucosa, which could otherwise lead to persistent discharge or recurrence.


Intraoperatively, no evidence of a patent vitelline duct or intra-abdominal extension was identified. Hemostasis was achieved, and the umbilical wound was closed in layers with attention to cosmetic outcome.

The postoperative course was uneventful. The infant tolerated feeds well, demonstrated no signs of infection or bleeding at the surgical site, and required only routine postoperative care. There was complete resolution of the umbilical discharge, and wound healing progressed satisfactorily without complications such as seroma formation, wound dehiscence, or local inflammation. The child was discharged in stable condition with advice for routine wound care and follow-up.
At subsequent follow-up visits, the infant remained asymptomatic, with a well-healed umbilicus and no evidence of recurrence. Growth parameters and developmental milestones continued to be appropriate for age. Parents were reassured regarding the benign nature of the condition and informed that recurrence is rare following complete excision. The favorable outcome in this case reinforces that early surgical intervention, combined with histopathological confirmation, provides definitive treatment and excellent prognosis for infants diagnosed with umbilical polyp [5,6].
Umbilical polyps are rare congenital lesions resulting from persistence of the omphalomesenteric duct and account for a small proportion of umbilical abnormalities in infancy [1,4]. They are composed of ectopic intestinal or gastric mucosa and typically present as a bright red, firm umbilical mass with mucous discharge [3]. Because of their clinical resemblance to umbilical granulomas, they are frequently misdiagnosed, leading to delays in appropriate management and prolonged symptoms [2,5]. In some cases, repeated applications of topical agents may be attempted without improvement, further postponing definitive treatment.
Failure of an umbilical lesion to resolve with conservative measures should prompt consideration of an umbilical polyp and further evaluation [3]. A thorough clinical assessment, supported by surgical exploration when indicated, is essential to exclude associated omphalomesenteric duct remnants. Histopathological confirmation remains crucial for establishing the diagnosis, and complete surgical excision is curative, preventing recurrence and eliminating ongoing symptoms or complications such as infection, ulceration, or persistent discharge [4–6].
Below is an expanded version of the conclusion with approximately 200 additional words, maintaining academic tone, logical flow, and appropriate in-text citations.
Umbilical polyp should be considered in infants presenting with a persistent umbilical mass and discharge, particularly when conservative management fails. The condition results from incomplete obliteration of the omphalomesenteric duct and is characterized by the presence of ectopic intestinal mucosa at the umbilicus [1,4]. Although rare, its clinical significance lies in the potential for misdiagnosis as more common conditions such as umbilical granuloma, leading to delayed or inappropriate treatment.
Early recognition of umbilical polyp is essential, as these lesions do not regress spontaneously and are unresponsive to topical therapies commonly used for granulomas. A high index of suspicion is warranted in infants with firm, well-defined umbilical lesions associated with persistent mucous discharge. Surgical excision followed by histopathological confirmation remains the gold standard for diagnosis and management, as it allows definitive identification of ectopic mucosal tissue and excludes other congenital anomalies of the umbilicus [1,4].
Timely surgical intervention not only alleviates symptoms but also prevents potential complications such as chronic irritation, recurrent infection, ulceration, or continued secretion from ectopic mucosa. Furthermore, complete excision minimizes the risk of recurrence and obviates the need for repeated interventions. With appropriate surgical management and follow-up, the prognosis of umbilical polyp is excellent, and long-term outcomes are favorable. Increased clinician awareness of this rare congenital entity facilitates early diagnosis, appropriate referral, and optimal management, thereby ensuring improved patient outcomes and parental reassurance.
Read more such content on @ Hidoc Dr | Medical Learning App for Doctors
1.
Potential new therapy for childhood brain cancer could heal treatment-resistant tumors
2.
Investigating the Relationship Between GERD and Anxiety/Depression.
3.
In a clinical trial, "3D mammography" nearly reduces the incidence of breast cancer between two screening exams.
4.
Indoor hydroponic gardening can improve mental health and quality of life for cancer patients
5.
Dr. Prerana S. Nesargi's message for Childhood Cancer Awareness Month 2023 is to increase understanding of pediatric oncology.
1.
How AI, Multi-Omics, and Real-World Evidence are Redefining Oncology Research and Shaping Cancer Care?
2.
Value, Access, and Affordability in Next-Gen Oncology: Navigating Costs, Coverage, and Clinical Impact
3.
Vaccines that can help prevent cancer
4.
Innovative Strategies in Prostate Cancer Management: From Surveillance to Systemic Therapies
5.
Revolutionizing Cancer Treatment: Harnessing the Power of AI in Histopathology
1.
International Lung Cancer Congress®
2.
Genito-Urinary Oncology Summit 2026
3.
Future NRG Oncology Meeting
4.
ISMB 2026 (Intelligent Systems for Molecular Biology)
5.
Annual International Congress on the Future of Breast Cancer East
1.
Molecular Contrast: EGFR Axon 19 vs. Exon 21 Mutations - Part I
2.
ESMO Breast Cancer 2022: P Reality X- A Restrospective Analysis
3.
A Comprehensive Guide to First Line Management of ALK Positive Lung Cancer - Part VI
4.
First Line Combination Therapy- The Overall Survival Data in NSCLC Patients
5.
Evolving Space of First-Line Treatment for Urothelial Carcinoma- Case Discussion
© Copyright 2026 Hidoc Dr. Inc.
Terms & Conditions - LLP | Inc. | Privacy Policy - LLP | Inc. | Account Deactivation