Rhinophyma is a rare, progressive form of phymatous rosacea characterized by hypertrophy of the sebaceous glands and connective tissue of the nose, leading to cosmetic disfigurement and functional impairment [1]. It predominantly affects middle-aged to elderly men and represents the end stage of chronic rosacea. We report a case of rhinophyma in a 55-year-old male who presented with progressive nasal enlargement, nodularity, and skin thickening over several years. Clinical evaluation and histopathological findings confirmed the diagnosis. Surgical debulking resulted in satisfactory cosmetic and functional outcomes. This case emphasizes the importance of early recognition and timely intervention to prevent advanced deformity and psychosocial distress.
Rhinophyma is a benign but disfiguring condition classified under phymatous rosacea, characterized by progressive hypertrophy of sebaceous glands, connective tissue proliferation, and vascular dilation of the nasal skin [1,2]. The term “rhinophyma” is derived from the Greek words rhinos (nose) and phyma (growth), reflecting the hallmark nasal enlargement seen in advanced disease [3].
Although rosacea affects both sexes, rhinophyma occurs almost exclusively in men, typically between the fifth and seventh decades of life, with a male-to-female ratio reported as high as 12:1 [2,4]. The exact pathogenesis remains incompletely understood, but chronic inflammation, sebaceous gland hyperplasia, vascular instability, and possible microbial factors such as Demodex folliculorum are believed to contribute to disease progression [3,5].
Clinically, rhinophyma presents with nasal bulbous enlargement, irregular nodularity, thickened skin, dilated pores, and telangiectasia. In advanced cases, nasal airway obstruction, secondary infection, and ulceration may occur [4]. The condition can lead to significant psychological distress, social stigma, and impaired quality of life. Early diagnosis and appropriate management are therefore essential to prevent progression and restore nasal contour and function [1,5].
A 55-year-old male presented to the dermatology clinic with progressive enlargement and deformity of the nose over the past 6 years. The patient initially noticed persistent facial redness and episodic flushing, followed by gradual thickening of the nasal skin. Over time, the nose became increasingly bulbous with irregular surface nodularity.

There was no history of pain, ulceration, or purulent discharge. The patient denied any nasal trauma or prior dermatological treatment. He reported mild nasal obstruction in recent months due to narrowing of the external nares. There were no systemic symptoms such as fever or weight loss. His medical history was unremarkable, with no history of alcoholism, despite common misconceptions historically associated with rhinophyma [2,6].
Cutaneous examination revealed diffuse enlargement of the nasal tip and alae with lobulated, nodular contours. The overlying skin was thickened, erythematous, and greasy, with prominent sebaceous openings and telangiectasia. Multiple irregular nodules were noted, giving the nose a distorted and bulbous appearance.
Palpation revealed firm but non-tender tissue without fluctuance or signs of secondary infection. The surrounding facial skin demonstrated features of rosacea, including centrofacial erythema and mild papulopustular lesions. No cervical lymphadenopathy was detected. Examination of the eyes and oral cavity was normal. These findings were consistent with advanced rhinophyma [1,3].
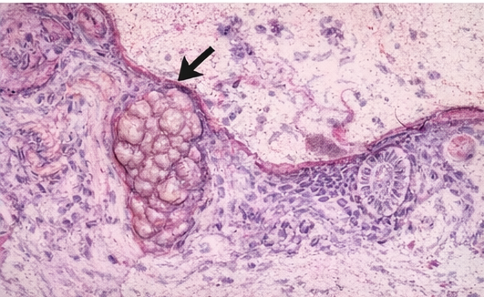
Routine laboratory investigations were within normal limits. A punch biopsy of the nasal skin was performed to exclude malignancy and confirm the diagnosis. Histopathological examination demonstrated marked sebaceous gland hyperplasia, dilated follicular infundibula filled with keratinous material, dermal fibrosis, and chronic inflammatory infiltrate, consistent with rhinophyma [4,5].
No evidence of basal cell carcinoma or squamous cell carcinoma was identified. Imaging was not required as there was no suspicion of deep tissue invasion.




The patient underwent surgical debulking using tangential excision combined with electrosurgical contouring under local anesthesia. Excess hypertrophic tissue was removed, preserving the underlying cartilage framework. Hemostasis was achieved, and the wound was allowed to heal by secondary intention.
Postoperative healing was uneventful, with significant improvement in nasal contour and airway patency. At 6-month follow-up, the patient reported marked improvement in self-esteem and social interactions, with no evidence of recurrence. Adjunctive medical management with topical metronidazole was initiated to control underlying rosacea and reduce the risk of progression [2,6].
Rhinophyma represents the most severe manifestation of rosacea and is characterized by progressive tissue hypertrophy resulting in nasal disfigurement [1,4]. The disease typically evolves slowly over several years and is often preceded by long-standing, untreated, or inadequately controlled rosacea, particularly the erythematotelangiectatic and papulopustular subtypes. Chronic inflammation, vascular instability, sebaceous gland hyperplasia, and dermal fibrosis collectively contribute to the gradual enlargement and distortion of nasal contours. Despite its benign nature, rhinophyma can cause significant functional and psychological morbidity, including nasal airway obstruction, impaired breathing, social embarrassment, reduced self-esteem, and diminished quality of life [3,6]. The conspicuous facial involvement often leads to delayed presentation due to stigma or misconceptions regarding its etiology.
The differential diagnosis of rhinophyma includes sebaceous hyperplasia, benign and malignant nasal tumors, lupus pernio associated with sarcoidosis, granulomatous infections, and other causes of nasal skin thickening. Histopathological evaluation is therefore essential, not only to confirm the diagnosis but also to exclude coexisting malignancy. Importantly, basal cell carcinoma, squamous cell carcinoma, and other cutaneous neoplasms have been reported within rhinophymatous tissue in up to 5–10% of cases, underscoring the need for tissue sampling in suspicious or atypical lesions [5,7].
Medical therapy alone is generally ineffective in established rhinophyma, as irreversible tissue hypertrophy and fibrosis predominate in advanced disease. While systemic isotretinoin and topical agents may have a limited role in early phymatous changes, surgical modalities remain the mainstay of treatment in well-established cases [1,4,6]. Techniques such as scalpel excision, electrosurgery, laser ablation, and dermabrasion allow precise tissue debulking and contour restoration, often resulting in excellent cosmetic and functional outcomes. Early surgical intervention can prevent advanced deformity, minimize psychological distress, and reduce the need for extensive reconstructive procedures [1,6].
Rhinophyma is a chronic, progressive condition that predominantly affects middle-aged and elderly men and represents an advanced stage of rosacea [1,2]. Although benign in nature, it can result in marked cosmetic disfigurement, nasal obstruction, and considerable psychosocial distress, significantly impairing a patient’s quality of life [3,4]. The characteristic bulbous enlargement and nodularity of the nose often attract social stigma, which may lead to reduced self-esteem, social withdrawal, anxiety, and depressive symptoms [4,5]. Functional complications such as narrowing of the external nasal valves and impaired airflow may further exacerbate patient discomfort and contribute to delayed presentation [3,6].
Early recognition of rosacea and timely, appropriate management are essential to prevent progression to rhinophyma [1,2]. Identification and treatment of underlying inflammatory rosacea with medical therapies, including topical and systemic agents, may help control disease activity and slow phymatous changes in susceptible individuals [2,5]. Regular follow-up and patient counseling regarding trigger avoidance, skincare, and adherence to therapy play a crucial role in long-term disease control [5,6]. However, once established, rhinophyma is largely unresponsive to medical treatment alone, highlighting the importance of early intervention before irreversible sebaceous gland hyperplasia and dermal fibrosis develop [3,4].
In advanced cases, surgical intervention remains the treatment of choice and offers substantial improvement in both appearance and nasal function [1,4,6]. A variety of surgical techniques including scalpel excision, electrosurgery, laser resurfacing, and dermabrasion, can be tailored to disease severity and patient-specific factors, often yielding excellent cosmetic outcomes with low recurrence rates [4,6,7]. Increased clinician awareness, prompt referral, and comprehensive patient education are therefore critical to ensure early diagnosis, appropriate management, and optimal functional and psychosocial outcomes in individuals affected by rhinophyma [1–7].
Read more such content on @ Hidoc Dr | Medical Learning App for Doctors
1.
Potential new therapy for childhood brain cancer could heal treatment-resistant tumors
2.
Investigating the Relationship Between GERD and Anxiety/Depression.
3.
In a clinical trial, "3D mammography" nearly reduces the incidence of breast cancer between two screening exams.
4.
Indoor hydroponic gardening can improve mental health and quality of life for cancer patients
5.
Dr. Prerana S. Nesargi's message for Childhood Cancer Awareness Month 2023 is to increase understanding of pediatric oncology.
1.
How AI, Multi-Omics, and Real-World Evidence are Redefining Oncology Research and Shaping Cancer Care?
2.
Value, Access, and Affordability in Next-Gen Oncology: Navigating Costs, Coverage, and Clinical Impact
3.
Vaccines that can help prevent cancer
4.
Innovative Strategies in Prostate Cancer Management: From Surveillance to Systemic Therapies
5.
Revolutionizing Cancer Treatment: Harnessing the Power of AI in Histopathology
1.
International Lung Cancer Congress®
2.
Genito-Urinary Oncology Summit 2026
3.
Future NRG Oncology Meeting
4.
ISMB 2026 (Intelligent Systems for Molecular Biology)
5.
Annual International Congress on the Future of Breast Cancer East
1.
Molecular Contrast: EGFR Axon 19 vs. Exon 21 Mutations - Part I
2.
ESMO Breast Cancer 2022: P Reality X- A Restrospective Analysis
3.
A Comprehensive Guide to First Line Management of ALK Positive Lung Cancer - Part VI
4.
First Line Combination Therapy- The Overall Survival Data in NSCLC Patients
5.
Evolving Space of First-Line Treatment for Urothelial Carcinoma- Case Discussion
© Copyright 2026 Hidoc Dr. Inc.
Terms & Conditions - LLP | Inc. | Privacy Policy - LLP | Inc. | Account Deactivation